
Laser Dentistry

Laser Dentistry Can Improve Your Experience & Results
More Comfortable Treatment
Lasers are a gentler treatment method since no hardware contacts your tissues. As such, many patients experience less physical and emotional discomfort.Exceptionally Precise
Dental lasers offer an increased level of control to provide more precise treatment.Minimal Side Effects
Since laser treatment reduces trauma to the surrounding tissue and cauterizes the area during the procedure, bleeding and the risk of infection are minimized.Handheld laser tools are easy to maneuver for the most flattering results...
Which laser tools are used at the practice?
Waterlase and Diode Lasers
Dr. Heringer was the first dentist to introduce advanced laser dentistry to Bismarck. He uses both Waterlase® and a diode laser to provide you with the best dental experience. Waterlase acts as a gentle alternative to a dental drill and is essentially a water-cutting instrument that utilizes laser-energized spray to remove enamel, dentin, and decayed tooth material. The diode laser can be adjusted to perform minor periodontal therapy as well as other cosmetic and restorative procedures.

Highly Recommended By Experts
“With laser surgery, there is a reduced need for local anesthesia, bleeding is minimized, postoperative swelling is reduced, and there is usually little, if any, discomfort afterward.” Academy of Laser Dentistry
Is the process different when my dentist uses lasers?
Streamlined Treatment
Minimized Need for Anesthesia
Laser dentistry is generally more comfortable than treatments using traditional tools, which can reduce or eliminate the need for local anesthesia.Your Procedure
The treatment can usually be completed more quickly.Recovery
Patients often experience a shorter recovery with significantly less discomfort.How does a diode laser work?
Is laser dentistry effective?
High Success Rates

*According to the Academy of Laser Dentistry, Journal of Laser Dentistry
Laser dentistry can transform your smile...
Treatments Like Laser Gum Recontouring Can Drastically Improve Your Smile
Is laser dentistry expensive?
Cost Considerations: Traditional vs. Laser Treatment
In some cases, laser dentistry can be more affordable because it is more efficient and does not require some of the additional fees associated with traditional treatment. It is important to note that while your insurance may not cover the use of a laser for your treatment, most patients find that the benefits justify the costs.
| Anesthesia Fees | Retreatment | Insurance | |
|---|---|---|---|
| Dental Laser | Typically only local anesthesia | Lower risk of complication | Not always covered |
| Conventional Treatment | May require additional sedation | May require treatment of complications | Covered for medically necessary treatments |
The Laser Dentistry Difference
Laser Dentistry Applications
Laser dentistry can be successfully applied to a number of general, restorative, and cosmetic procedures, including:
Closed Non-Surgical Crown Lengthening
Dr. Heringer maximizes tooth structure exposure for future porcelain dental crowns or deep gumline fillings by removing excess gum tissue and bone. Achieved with a Waterlaser, this process is called "closed, non-surgical crown lengthening". Dr. Heringer's Mastership Certification from the World Clinical Laser Institute has attributed to his skill while performing this crown lengthening procedure.
Fillings
Bid the unpleasant dental drill good-bye! At our Bismarck office, we utilize laser dentistry and the Waterlase® in place of the drill to clear out early decay, often without anesthesia. This is a wonderful method for treating cavities and preparing them for white fillings.
Frenectomies
This procedure involves the connective tissues in the mouth called frenulums. This tissue is meant to keep certain oral structures in place, as they are found beneath the tongue, within the upper and lower lip, and in the cheek. When frenulum tissue is too short or ill-situated, it can impede function, increase tooth sensitivity, and promote a receding gumline. Fortunately, restrictive frenulums may be safely removed with laser dentistry.

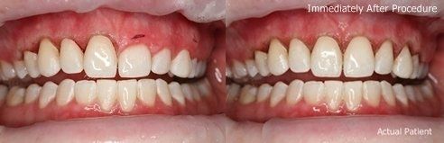
Gum Recontouring
This is one of the more popular procedures in laser dentistry, favored for its rich cosmetic results. Dr. Heringer's use of the laser allows him to affect gums that are proportionate with your teeth and smile as a whole. Laser gum recontouring, also called gum reshaping or a gum lift, is ideal for correcting a "gummy" smile; the laser technology reduces the gums without the effects of pain or bleeding from a scalpel.

Laser Periodontal Therapy
Because more than half of all Americans will experience periodontal disease, Dr. Heringer and the dental hygienists utilize the laser to comfortably treat bacteria beginning with the mildest form of gingivitis. Our goal is to keep periodontal disease from eventually forcing the loss of a tooth.
- Laser Bacterial Reduction: Also referred to as LBR, laser bacterial reduction is a simple treatment meant to sanitize your mouth and lower the risk of bacteria entering the system.
- Laser Assisted Periodontal Therapy (LAPT): Pockets of bacteria can form as a result of plaque buildup around the teeth. This can lead to the consummation of gum tissue, which can ultimately lead to deterioration of gum tissue, exposure of the tooth's root, and eventual bone and tooth loss. With LAPT, pockets can be reduced and even eliminated.



